A mother feels the clock ticking in her efforts to halt a rare disease she knows too well
Eight-year-old Arshaan Adam squints against the brightness as sun spills into the atrium of Children’s Hospital & Medical Center.
The boy leans over the fountain in the lobby and the cuffs of his too-long sleeves dip into the water. His shadow stretches taller than his slight 3-foot-6-inch frame. He’s a head shorter than his third-grade classmates, and his joints bend and bow and jut out at unnatural angles.
Arshaan’s clutching a penny, rolling it in his small palm. His fingers hurt. So do his wrists, his knees and his back. It hurts to walk, too — it’s more of a waddle now that his legs are so curved. Before Arshaan zips off in his wheelchair to a hospital room on the sunny morning, his eyes close. His head bows, his fingers open and the coin falls into the water with a small splash.

Neena Nizar stands in the shade watching little Arshaan. She knows her son’s wish — it’s the same one he has blown into birthday candles, the same one he and his 6-year-old brother, Jahan, ask Santa for every year: a cure for Jansen’s metaphyseal chondrodysplasia, the rare, progressive form of dwarfism that afflicts Neena and both boys.
Neena has the same wish — it’s the reason she uprooted her young family two years ago from the bustling desert city of Dubai in the United Arab Emirates to a quiet suburban Elkhorn neighborhood.
It’s why the 38-year-old mother stays up until 2 in the morning, sending email after email to doctors, researchers and pharmaceutical companies. It’s why, in between her part-time job with disability support services at Metro Community College, her work on her dissertation for her doctorate in educational leadership at Creighton University and her role of chasing after two young boys, she has found time to start the Jansen’s Foundation, a nonprofit to raise awareness for the disease and funds to support further research.

For 32 years, Neena hadn’t even heard of Jansen’s. So for her, fighting to grant Arshaan’s wish is about even more than a mother’s love. It’s about making up for lost time.
“I know what it’s like to be a child and deal with this disease,” Neena said. “I don’t want to watch them go through that. It makes this all the more painful.”

It’s fall 2010, and Neena is sitting in a hospital waiting room in southern India. She’s soothing 1-month-old Jahan in one arm and working to keep 2½-year-old Arshaan entertained as the wait stretches into five hours. The family has been driving seven hours each way to this geneticist’s office every other day since Jahan was born. After months of emailing the boys’ X-rays to hundreds of doctors all over the world, after traveling to experts across the United Arab Emirates and India, after visits to holy men for advice, this geneticist feels like a last resort — one final attempt to get an explanation for Arshaan’s sudden regression and Jahan’s delayed growth.
Sitting in that waiting room, Neena fears that her boys inherited much more than her large, expressive eyes.
Standing less than 4 feet tall, Neena has bones that are bent and misshapen. If not for three dozen corrective surgeries, she wouldn’t be able to stand — her legs would have bowed too far.
Until now, Neena thought her condition wasn’t hereditary. After a series of other misdiagnoses as a child, doctors had told her she had Ollier’s, a condition that causes benign tumors on the growth plates, and one that wouldn’t be passed on to her children.
Neena’s thoughts wander to her own childhood in Dubai — the crutches and wheelchairs, the countless times she wished she could be like other kids.
But then she thinks of her father, how he flew her all over the world for surgeries, how he handmade special leather boots to cover her thick braces, how he carried her to all of her classes through her final years of high school. Even how he laid her down on an ironing board, desperate to find a flat surface that might keep her bones straight.
“He did everything in his capacity to make sure he tried to stop what was happening to me,” Neena said. She would do the same for her boys.
Neena’s thoughts are interrupted as the family finally is called into an examination room.
“I think I know what this is,” Neena remembers the doctor saying. Neena was incredulous — she was used to dead ends.
The geneticist recalled an X-ray her college professor had briefly flashed across the screen, explaining the disease was so rare, his students would never encounter a patient with it.
“I think this is Jansen’s,” the doctor said.
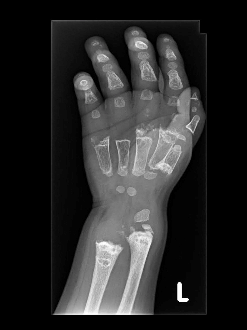
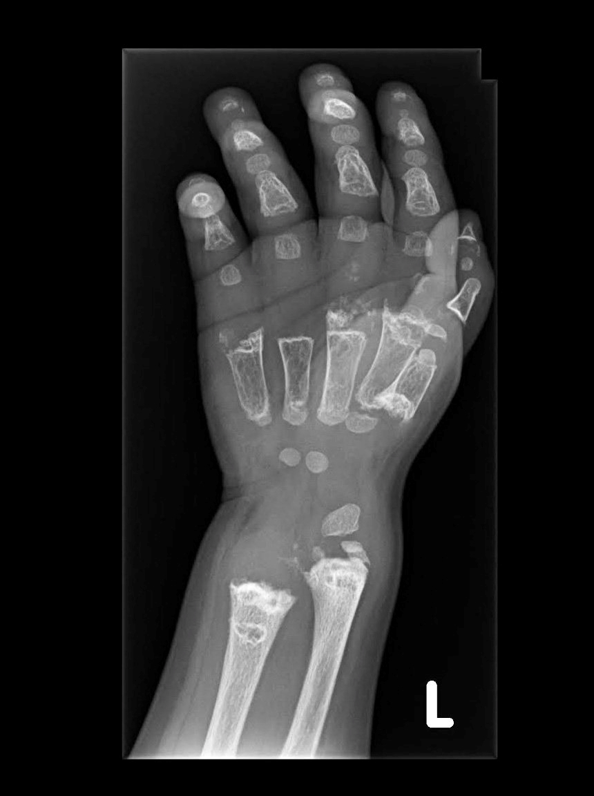
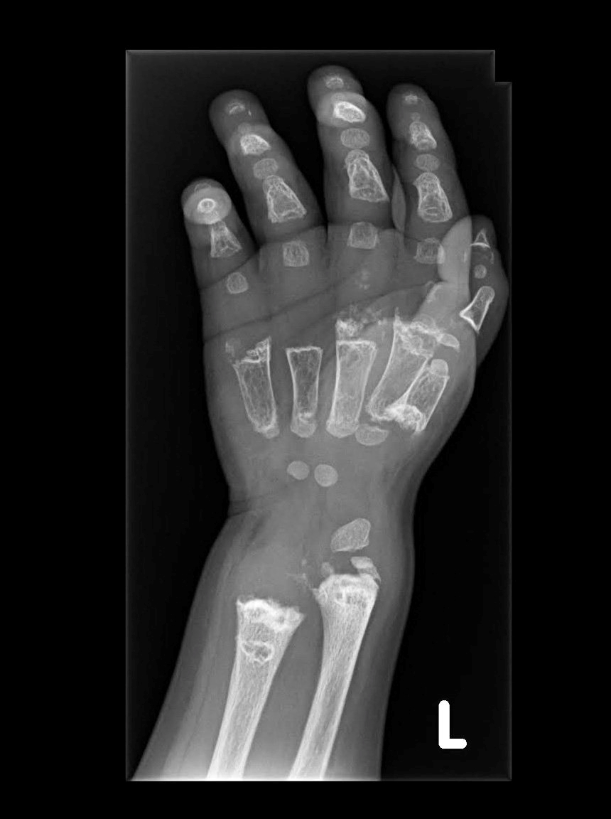
Neena and her two sons are three of the fewer than 30 people around the globe who have been diagnosed with Jansen’s, which is caused by a genetic mutation. Though not terminal, the diagnosis means chronic pain and dozens of corrective surgeries to straighten weak bones that grow in serpentine curves, fraying at the ends like old paintbrushes. The disease also can lead to kidney problems, caused by the high levels of calcium in the bloodstream.
For the two Elkhorn boys with the wide brown eyes, quick smiles and an obsession with superheroes, the diagnosis means always being the smallest one in their classrooms and not being able to join friends at recess for games of basketball. It means every vacation is planned around a surgery or a doctor’s visit. It means being unable to take medication for the pain, for fear that it would further stress their kidneys. The surgeries likely will stop once the boys stop growing, but even then, their bones will be so weak they may not be able to walk.
“This disease is gruesome in the fact that it just slowly strips the boys of what they want to do,” Neena said. “I think they are just now getting old enough to realize that.”
A doctor in Boston has developed a promising treatment in mice with the same genetic mutation that causes Jansen’s. The treatment could halt the progression of the disease and make the bones strong enough for corrective surgeries.
But getting it approved for human trials could take years and millions of dollars. For the boys, time is running out — to be most effective, Arshaan and Jahan will need the treatment before they hit puberty, when bones grow the fastest.
“This fight, for first a diagnosis and then a cure, has already consumed years of our lives,” Neena said. “Now we need a miracle.”

Arshaan, left, and Jahan climb onto a windowsill to look at the view from their hospital room before undergoing their second round of pamidronate intravenous infusions at Children's Hospital & Medical Center in February. The infusions help to regulate the amount of calcium in each boy's bloodstream.

Neena thinks maybe it was fate that guided a fundraising letter across the globe from the United Arab Emirates to the middle of the United States. It was 2005, and Neena was working with a support group for families with special-needs children in Dubai. After posting the letter in a Yahoo messaging group, she received a response from a man living in a place called Nebraska. She had heard of the state; years ago, she had received a scholarship to study at Creighton University, but had to turn it down because of her many surgeries.
The man wanted to know more about her work and about her life in Dubai. After communicating for seven months, Adam Timm sent Neena an email that read, “I want to settle down.”
“Good for you,” Neena replied.
He clarified: “I want to settle down with you.”
After some convincing, Neena agreed to let Adam visit her world in Dubai. They were married within two weeks.

“When he took my hand for the first time just to help me cross the road, I thought, ‘Wow, this was meant to be,’?” Neena said.
“You’d given up on love and marriage and the idea of being a mother,” Adam told her then. “I wanted you to have that chance.”
Still living in Dubai, the couple talked about starting a family, about adopting. Doctors told Neena she never would conceive, and if she did, she wouldn’t be able to carry the child full term — her legs would break under the weight. But two years after Neena and Adam married, the couple welcomed a healthy 9-pound baby boy — with no complications. They named him Arshaan, Persian for “hero.”
But a year and a half later, Neena noticed the boy’s knees were swollen, his feet curling.
Her toddler’s once long and tapering fingers now were short and stubby. When she held his hands she could feel gaps where bones should be. But doctors kept saying there was nothing wrong — these were just the worries of a first-time mother.
And then she found out she was pregnant again. Ultrasounds showed the baby’s bones weren’t developing properly. Doctors suggested she terminate the pregnancy.
In fall 2010, Jahan — Persian for “world” — was born with short limbs, weak bones and high calcium levels in his blood.
“Doctors could no longer tell me this was nothing,” Neena said. “Suddenly, everything was unraveling.”
Sometimes, strangers ask Neena why she had a second child if she knew the risks. But Arshaan’s symptoms didn’t appear until she was pregnant with Jahan.
Instead of a long explanation about not knowing whether she could pass on her condition, she just wants to tell those strangers, “Look at my two boys. Look at their bond.”
“It’d be a very lonely world for Arshaan if he had to deal with this by himself,” she said. “When I see the boys together as friends, as best buddies, as caretakers for each other, I know that there was a bigger plan involved.”

The night after she first heard the words in that geneticist’s office, Neena sat in her mother’s home in rural India and Googled “Jansen’s metaphyseal chondrodysplasia.”
There, amid all the links to academic articles about the disease, was a blog by Dona Krystosek, a woman in a coastal town in Mississippi. Her posts followed then-4-year-old “Little Levi,” the only Jansen’s patient in America.
The words about Levi’s high calcium levels and bulbous joints and bending bones blurred through Neena’s tears.
“He looked exactly like Arshaan,” she said. “I knew then for sure that this was our condition. I knew then we weren’t alone.”
Neena wrote to Dona that night — the first of what now are daily emails, texts and phone calls between the two mothers and best friends.
She asked Dona about the “wonder drug” mentioned in the blog — this experimental peptide infusion developed by Dr. Harald Jueppner, chief of pediatric nephrology at Massachusetts General Hospital.
“Now the battle begins to find a way to provide the best smiley life for my boys,” Neena wrote.
On their way back to their home in Dubai, Neena and Adam discussed it: They would have to move to the U.S. to get the boys to researchers and surgeons.
Within a few days of the diagnosis, Neena started the application for a U.S. visa. Twice she was denied.
Though Adam was a U.S. citizen, he had been living in Dubai for four years. He would have to prove he could support Neena and the boys in the U.S. So in 2013, Adam moved without her, hoping that if he got a job in the States, her visa would have a better chance.
“I cried every day,” Neena said. “Here I was alone with two boys with bones that were bending right in front of my eyes.”
Finally, in 2015, visa in hand, Neena and the boys made the 7,500-mile journey to their new home in Elkhorn to join Adam. He works nights at Omaha State Steel so he can help out in the morning, lifting the boys into the bathtub, getting them dressed and fed and ready for school.
“I’m kind of her henchman,” Adam said. “When we first met, I immediately fell into this role of supporting her. As she’s constantly calling someone or going somewhere to advocate, I’m doing the things she can’t do.”
That means doing the laundry and the dishes and helping the boys with everything from getting out of bed to brushing their teeth.
“It can get exhausting, but I’ve never had as much fun as I have with the boys,” Adam said. “And watching Neena work this hard to help people — it’s why I fell in love with her.”
Settling on the East Coast would have put the family closer to the boys’ orthopedic surgeon in Delaware and the researcher in Boston.
“But we want to stay here,” Neena said, rattling off a list of all the reasons she loves Elkhorn and the boys’ school, Hillrise Elementary in the Elkhorn district.
“Where else would we go to get the kind of support we get from this community? This is where my sons are growing up.”
She has found support at Children’s Hospital & Medical Center, too. Dr. Maegen Wallace, an orthopedic surgeon who has a son at the boys’ school, volunteered to be a board member for the Jansen’s Foundation. She had operated on Arshaan years ago as a fellow at the Delaware hospital where the boys go for surgery.
“It’s kind of full circle that we both ended up in Omaha,” Wallace said, adding that Neena has taught the doctors at Children’s about Jansen’s and skeletal dysplasia.
The boys sing in school concerts and take piano lessons once a week. This month the brothers will start their second season in a baseball league for children with disabilities.

In class, Arshaan writes rhyming poems about his love for his younger brother and about his rare disease, and how though he’s small, his heart is tall.
The two spend hours drawing Transformers and superheroes, often dressed in their own Batman and Spider-Man costumes. Arshaan thinks maybe he’ll be an artist or engineer when he grows up, but Jahan is still considering a career as a ninja.
“Sometimes when you look at them, they look like normal kids, just brothers playing,” Neena said. “You have to remind yourself they aren’t.”
But the reminders are there: the leg braces, the wheelchairs, the long dark scars running up and down their legs from the several surgeries and the metal fixation rings once drilled into their tibias.
And then there’s the cost. The several surgeries have cost hundreds of thousands of dollars, Neena estimates. Medicaid and Supplemental Security Income for disabled children have covered the bulk of that, but each trip to the East Coast for surgery costs the family about $10,000. Taking months off work for procedures and conferences has drained the couple’s savings.

Neena has private health insurance, but she needs foot surgery, and the insurance wouldn’t come close to covering it. She’ll have to wait until she becomes a U.S. citizen next year before she can apply for Medicaid.
As her foot continues to bend, walking has become increasingly painful. Like her boys, she uses a wheelchair to go long distances.
“People say I should just accept this, just learn to live with it,” Neena said. “I don’t want my boys to just have to live with it. I want to change it.”
That’s why three months ago Neena launched the nonprofit with the goal of raising enough money to push Dr. Jueppner’s experimental drug to human trials by the end of the year.
“It’s such a rare disease, I sometimes wonder who would be interested in funding this cure for something that affects just a few children,” Neena said.
But further research into Jansen’s could lead to new findings about bone development, potentially leading to a better understanding of conditions such as osteoporosis. That’s the pitch Neena gave to pharmaceutical companies in mid-April at a Washington, D.C., conference to support research and funding of “orphan drugs”: pharmaceuticals that may go underdeveloped because they have limited profitability.
That was just one of several conferences Neena has attended over the past year. Between the researching and the traveling and the worrying, Neena gets maybe four hours of sleep a night.
Jueppner cautions her to take care of herself as she does her boys.
But it’s not just about herself, Neena clarifies. She’s doing this for her “army of Jansen’s moms.”
There’s the mother in Australia who sleeps next to her son, fearing that the calcium deposits on his face will stop his breathing. There’s the mom in Paraguay who sends photos of her recently diagnosed daughter — a little girl who loves to dance. And, of course, there’s Dona, who fears the day her son Levi realizes he’s too short to be the Coast Guard rescue swimmer he dreams of becoming.
“In the end, even if this fight doesn’t end up helping my boys, I won’t stop,” Neena said. “If I can help those other children, those other moms, then I will do that.”
Jueppner said it’s Neena’s determination driving the recent interest in his research. He had studied Jansen’s for two decades, but Neena and her boys were the first patients he had ever met.
“We didn’t have the financial support to conduct preclinical trials, and we didn’t have any impetus for this research until Neena got involved.”
Still, Jueppner said, it could be years before the treatment would get to Arshaan and Jahan. And that’s only if the team gets the necessary funding.
“It’s heartbreaking to tell them they have to wait. But I don’t see Neena giving up,” Jueppner said.

It’s early afternoon, and Arshaan has climbed into Jahan’s hospital bed at Children’s. He hugs his brother and holds up a doll he made with the help of hospital staff. The doll is wearing a cape, and Arshaan has drawn a “J” on the chest.
“It’s Super Jahan,” he says to his little brother, who responds by holding up his own doll, colored to match. “And Super Arshaan,” Jahan says, flying the doll through the air.
An hour later, the tone changes as the nurses come in with needles. The boys start to cry and then scream, hiding their arms behind their backs.
They have been through this before — it’s their second infusion to reduce the calcium buildup in their blood. They know it often takes many pokes before nurses find a vein big enough for the IV.
“Why is this happening to me?” Jahan screams through gasping sobs. “Mom, save me!”
Neena swallows hard — she hates this part, too. She stretches to reach over the edge of the bed and touch her young son’s arm.
“It’s OK, I’m here,” she said. “You are so brave. And look, Super Arshaan is right here with you.”
Jahan quiets a bit, squeezes the doll and wipes the tears from his eyes. It takes a few pokes, but the nurses get the IV in quickly.
The infusion runs for hours. As the sun sets over Omaha, the two brothers drift off, still cradling their super-brother dolls.
Neena stays up, sending a few more emails, posting a few more photos to the Jansen’s Foundation Facebook page, sending a final text to Dona.
Then, finally, Neena curls up on the bench in the hospital room and closes her eyes. Tomorrow, she will start again. With all the power of a mother’s love, she will keep fighting for these boys. For their wish. For a miracle.
After all, that’s what superheroes do.

Source: http://dataomaha.com/bigstory/story/131
mara.klecker@owh.com
Pics by Megan Farmer